横浜駅きた西口徒歩1分にある村田歯科医院です
以前、ブログにも書かせて頂きましたが、矯正治療を始めるにあたって、必要な資料について、最近よくご質問を受けるので、改めましてまとめて記載させて頂きます。まず、当院では以下の資料採得を行います
<当院での矯正歯科 精密検査資料>
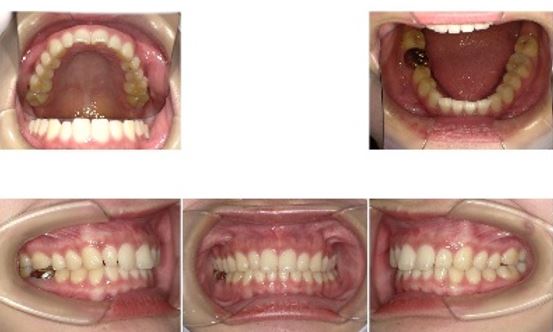
① 顔貌(顔)・口腔内写真
② レントゲン(正面セファロ・側面セファロ・パノラマ)
③ 歯列模型作製 または 口腔内スキャン
④ CTスキャン(ケースにより未撮影の場合あり)
⑤ その他、必要に応じCTスキャンを利用した気道分析
(👆 当院設置のCTスキャン画像)
当院では、以上の資料を5~6種類の分析を行い総合的に治療方針を判断します
以上が当院での精密検査資料になります。
医院ごとに多少の差があるかと思いますが、
上記の①~③を用いた、分析や診断は、矯正歯科治療では必須になるかと思います🌸
最近、特に「シュミレーション」と口の中のレントゲン(パノラマ)を使って診断を
してもらった!というお話を伺います。
これはあくまで、診断ではなく、シュミレーションや参考資料になります。
診断資料についての疑問や質問が多々あったため、改めて簡潔にご紹介させていただきました。
日々、正しい情報発信に努めて参りたいと思います。
村田歯科医院/村田歯科 横浜矯正歯科センター
























